ORTHODONTIE PASSIVE
La contention
Après un traitement d’orthodontie dit « actif », il faut maintenir au mieux les résultats obtenus. Il est donc indispensable de « bloquer » la position des dents. C’est ce qu’on appelle la contention.
Elle est la garantie du bon maintien des dents dans leur position de fin de traitement.
Si vous ne souhaitez pas que vos dents bougent de nouveau ou être amené a refaire un traitement, il faudra donc suivre rigoureusement cette étape de traitement.
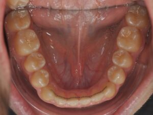
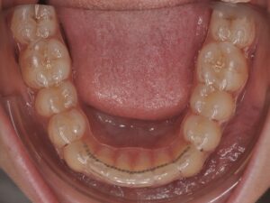
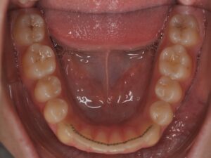
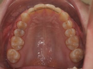
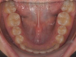
Elle se compose :
- d’un fil collé sur la face interne (linguale) des dents
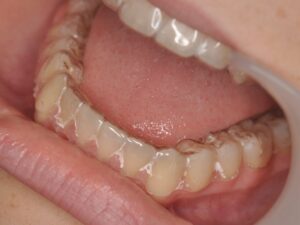
- de gouttières passives de stabilisation réalisées sur mesure. `
FAQ
Les gouttières passives de stabilisation sont à porter toutes les nuits la première année puis une à deux fois par semaine tout au long de votre vie.
Le fil de contention quant à lui est fixe. Idéalement, il est à garder toute votre vie également.
Les dents bougent toute la vie. Il en va de même pour tout le corps humain.
Lorsque l’on retire un appareil, il y aura toujours des micro-déplacement qui se feront. Pour les limiter la contention est donc indispensable pour tout le monde.
Il est conseillé de prendre rendez-vous rapidement afin de les refaire au plus vite pour éviter toute récidive.
A l’eau froide ca l’eau chaude les déformera.
Idéalement frotter avec une ancienne brosse a dent et du liquide vaisselle.
Les deux premières années il est conseillé de contrôler ses contentions tous les 3-4 mois.
Puis une fois par an lorsqu’il n’y a pas de soucis.

HORAIRES D'OUVERTURE
Mardi, mercredi, jeudi et vendredi :
09h30 - 14h00, 15h00 - 19h00
COORDONNÉES
01 47 72 05 68
12 Place du Général Leclerc, 92150 Suresnes








