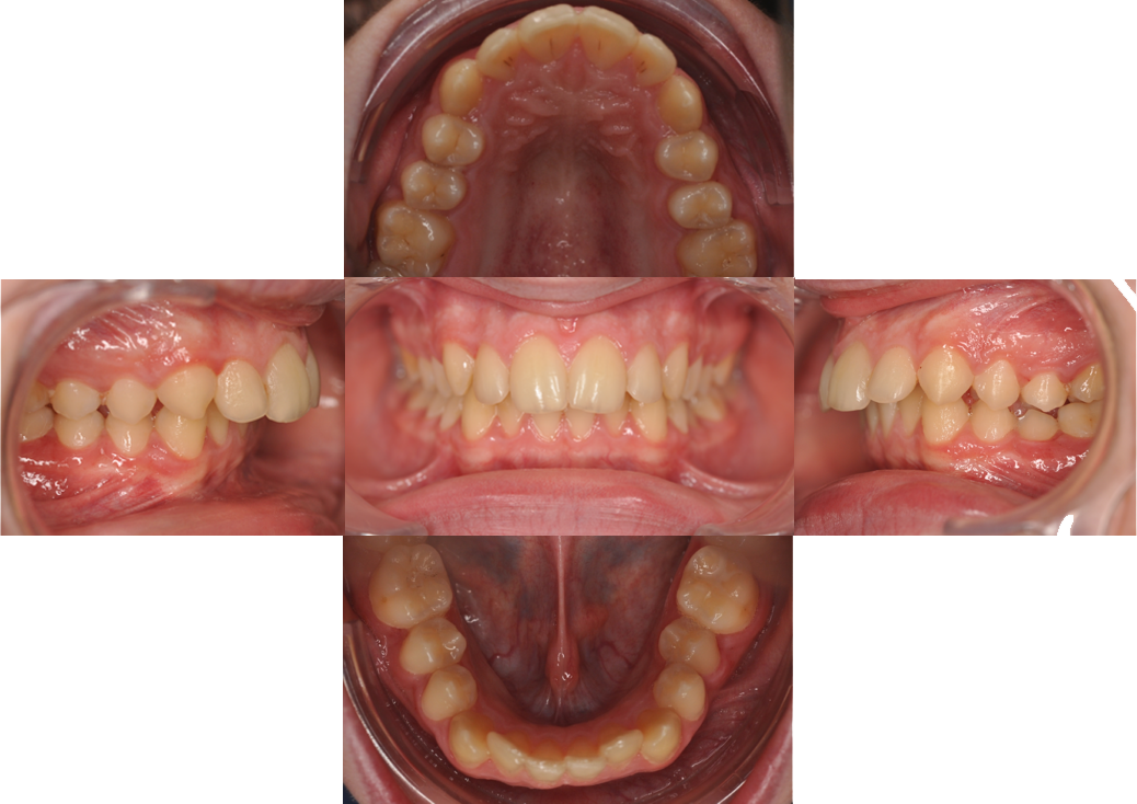
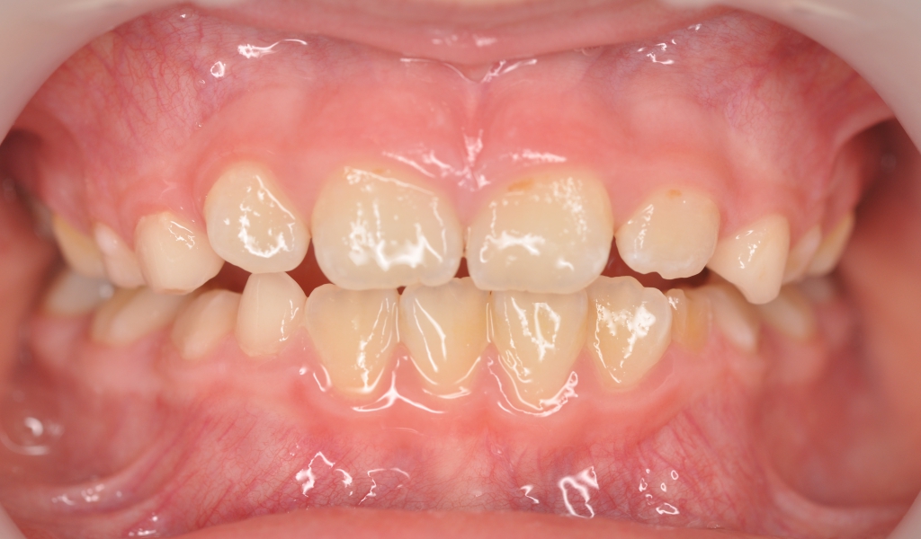
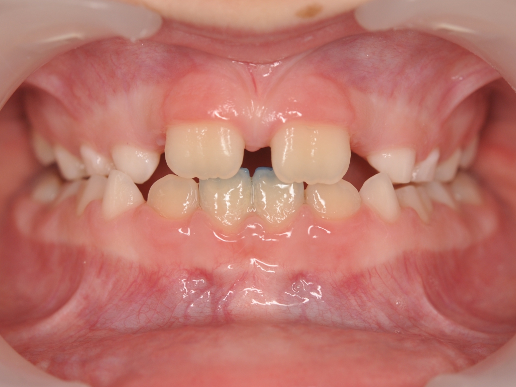
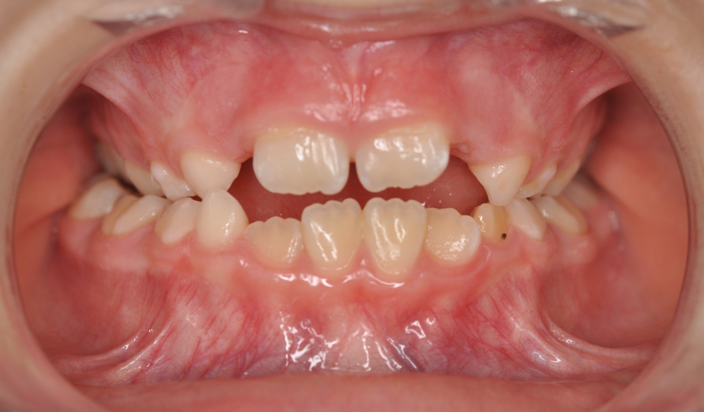
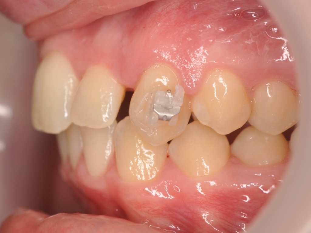
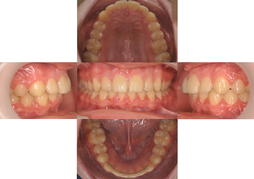
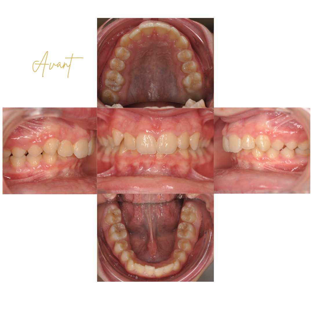
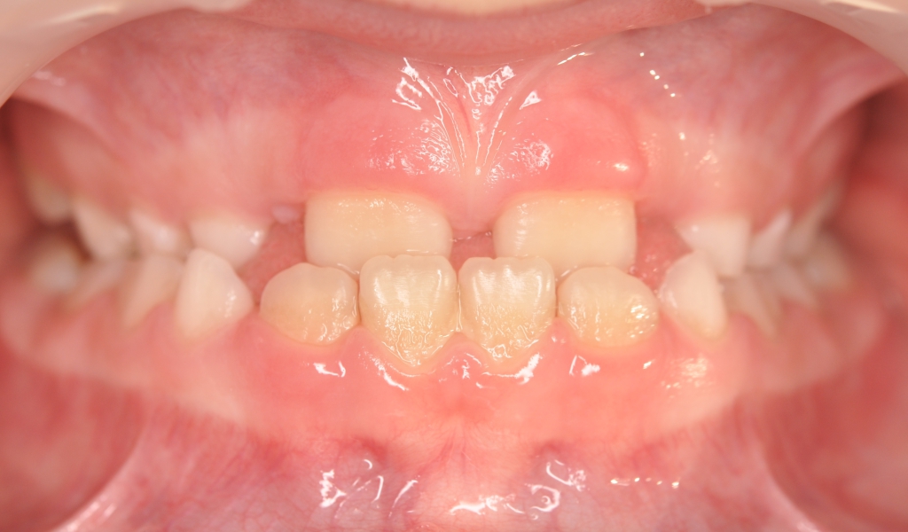
CAS CLINIQUES AVANT/APRÈS
Orthodontie Interceptive

HORAIRES D'OUVERTURE
Mardi, mercredi, jeudi et vendredi :
09h30 - 14h00, 15h00 - 19h00
COORDONNÉES
01 47 72 05 68
12 Place du Général Leclerc, 92150 Suresnes