ORTHODONTIE INVISIBLE, LINGUALE
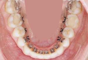
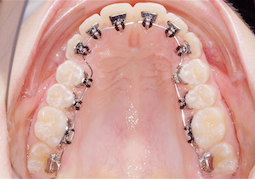
Multi-attaches lingual, bagues à l’intérieur

L’orthodontie linguale est une méthode orthodontique qui permet de réaligner les dents de manière totalement invisible. Les attaches (brackets) sont placées sur la face interne des dents, côté langue, ce qui rend l’appareil totalement invisible à l’œil nu.
Le traitement est entièrement personnalisé, grâce à des technologies numériques de pointe.
Il s’adresse aux adultes et adolescents soucieux de corriger l’alignement de leurs dents sans compromis esthétique.
FAQ
Les deux traitements sont discrets, mais seul le lingual est totalement invisible, car fixé à l’intérieur des dents.
Les aligneurs sont transparents mais restent légèrement visibles de près.
Contrairement aux aligneurs, l’appareil lingual est fixe (sans risque d’oubli).
Une gêne est fréquente au début, notamment au niveau de la langue. Cette sensation diminue au fil des jours, le temps que la bouche s’adapte.
Oui. Il est conseillé d’éviter les aliments très durs, collants ou croquants (comme les bonbons, les noix, ou les baguettes très croustillantes), surtout en début de traitement. Des aliments mous ou coupés en petits morceaux sont recommandés pour limiter les traumatismes sur les brackets et réduire l’inconfort.
Oui, une période d’adaptation est souvent nécessaire. L’élocution revient progressivement à la normale après quelques jours à quelques semaines.
Une hygiène rigoureuse est indispensable : brossage après chaque repas, fil dentaire ou brossettes, et contrôles réguliers chez l’orthodontiste.
Elle varie selon les cas, généralement entre 12 et 36 mois, comme pour les autres traitements orthodontiques.
Le tarif est plus élevé qu’un appareil classique ou des aligneurs, en raison de la personnalisation et de la technicité du traitement. Un devis est fourni lors de la première consultation.

HORAIRES D'OUVERTURE
Mardi, mercredi, jeudi et vendredi :
09h30 - 14h00, 15h00 - 19h00
COORDONNÉES
01 47 72 05 68
12 Place du Général Leclerc, 92150 Suresnes


