ORTHODONTIE INTERCEPTIVE
Orthodontie du jeune enfant

Il s’agit de l’orthodontie du jeune enfant. Elle permet d’intercepter un défaut de croissance ou d’éruption dentaire qui pourrait devenir irréversible s’il est pris en charge trop tard. De manière générale, il y a trois axes.
-
L'AXE ORTHOPÉDIQUE
Il correspond à la réorientation des croissances des mâchoires supérieures et inférieures. En effet, tant que l’enfant est encore jeune, la croissance peut être déverrouillées, voire guidée afin qu’une croissance harmonieuse des mâchoires se fasse.
-
L'AXE DENTAIRE
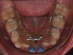
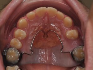
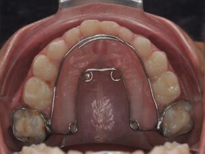
Il correspond au maintien ou à la réouverture des espaces afin que les dents définitives puissent évoluer.
Les dents de lait sont souvent sous-estimées mais elles jouent un rôle primordial dans l’éruption des dents définitives. Il faut savoir que la nature n’aime pas le vide, une perte prématurée d’une « dent de lait » entrainerait un risque d’absence de place pour la « dent d’adulte ». Il peut donc être nécessaire de maintenir ou de rouvrir certains espaces.
-
L'AXE DES FONCTIONS BUCCALES
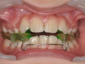
Il s’agit de la mastication, la respiration, la posture linguale, les habitudes déformantes. Elles font partie intégrante de la bonne posture des mâchoires et des dents. Elles seront également contrôlées et interceptées. Les appareils sont nombreux en fonction de la malocclusion, ils peuvent être fixes ou amovibles. Très souvent, l’interception pourra être associée à un rendez-vous chez : l'ORL, l'orthophoniste, le kinésithérapeute ou encore l'osthéopathe.

FAQ
En moyenne elle dure une année. A noter que l’assiduité du port de l’appareil est indispensable pour que le traitement fonctionne.
A partir de 7 ans il est bien de consulter afin de ne pas rater le coche.
L’interception doit être commencé avant le pic de croissance et cela dépend de la croissance de chacun.
Attention ! Le pic de croissance chez la fille a lieu plus tôt que le garçon.
Une boite sera remise afin de toujours ranger votre appareil lorsqu’il n’est pas bouche.
Il est important d’en prendre soin pour ne pas le casser ou le perdre. Cela engendrerait un retard de fin de traitement et un surcout.
L’hygiène buccale et de l’appareil est primordiale. Il faudra bien brosser ses dents et son appareil.
En phase active de traitement, certains seront à porter 24 heures sur 24 et d’autres en rentrant de l’école et toute la nuit.
L’orthodontiste vous donnera des conseils en fonction de l’appareil que l’on vous aura remis et donc de votre situation clinique.
Le port de l’appareil sera limité à un port nocturne dans un second temps.
N’attendez votre prochain rendez-vous. Contacter le secrétariat afin que l’on vous donne un rendez-vous le plus rapidement possible.
Si l’élément cassé est de grande taille ou que l’appareil blesse la gencive, la joue ou la langue, rendant impossible de porter l’appareil, il est nécessaire de nous appeler et de fixer un rendez-vous proche pour que nous puissions fabriquer un nouvel appareil.
En revanche, si le morceau fracturé est de petite taille, qu’il ne gène pas la mise en place de l’appareil, il faut garder l’appareil en bouche , ne pas l’activer, et nous appeler pour fixer un rendez-vous plus proche.
Les appareils ne sont pas douloureux. Ils pourront gêner les premiers jours et nécessiteront un temps d’adaptation. Mais c’est passager.

HORAIRES D'OUVERTURE
Mardi, mercredi, jeudi et vendredi :
09h30 - 14h00, 15h00 - 19h00
COORDONNÉES
01 47 72 05 68
12 Place du Général Leclerc, 92150 Suresnes








