ORTHODONTIE ESTHÉTIQUE
Traitement par gouttières, gouttières d’alignement
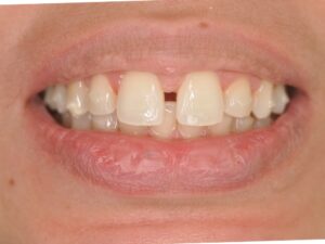
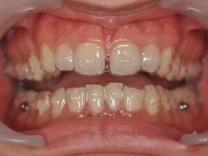
Les gouttières permettent de faire le même travail que le traitement par multi-attaches c’est à dire de corriger les malpositions dentaires.
Elles ont l’avantage d’être beaucoup plus esthétiques car quasi invisibles.
Elles sont amovibles donc à retirer au moment des repas (pas de restrictions alimentaires) et du brossage.
Elles doivent être portées au minimum 22 heures par 24 heures.
FAQ
Une petite gêne/pression à chaque changement de gouttière peut être ressentie. Mais cela est passager.
Discrètes oui, invisibles non !
La seule technique absolument invisible est la technique d’orthodontie linguale que nous ne réalisons pas au cabinet.
En moyenne toutes les 8 semaines.
Avec le traitement par gouttières on observe généralement une période d’adaptation de quelques jours où le patient peut avoir une légère gène ou un petit zozotement qui disparaîtra dans la quasi-totalité des cas après quelques jours.
Non. Si ce n’est la perte d’une gouttière.
Les gouttières d’orthodontie sont retirées pour manger offrant ainsi aux patients la liberté de leur alimentation.
Cela permet également de se brosser les dents plus aisément.
- La première consultation classique
- Le bilan orthodontique : empreintes, photographie, radiographies
- Le clincheck ou la prévisualisation de traitement.
Cette étape permet d’avoir un aperçu des résultats que l’on peut espérer obtenir et d’estimer le nombre minimal de gouttières nécessaires
- Le jour J : la Pose des gouttières
L’aligneur que vous portez peut se fendre ou s’user prématurément si vous exercez une forte pression en serrant les dents.
Si vous êtes dans les 7 premiers jours de port de l’aligneur fracturé: reportez l’aligneur précédent et contactez nous pour que fassions fabriquer l’aligneur fracturé.
Si vous avez passé les 7 premiers jours de port de l’aligneur fracturé : portez l’aligneur suivant. Attention : veillez bien à l’enfoncer parfaitement, cela va être un peu plus difficile qu’à l’accoutumé.

HORAIRES D'OUVERTURE
Mardi, mercredi, jeudi et vendredi :
09h30 - 14h00, 15h00 - 19h00
COORDONNÉES
01 47 72 05 68
12 Place du Général Leclerc, 92150 Suresnes




