ORTHODONTIE CLASSIQUE

Bagues céramiques - Bagues métalliques

 

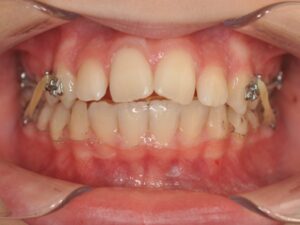
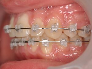
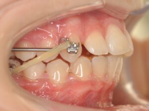
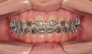
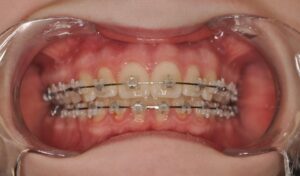
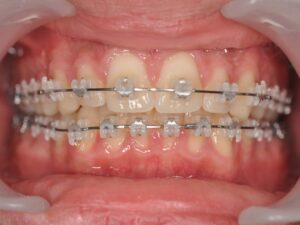
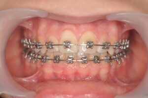
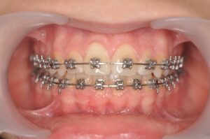
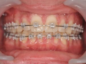
orthodontie-classique---orthodontie-suresnesIl s’agit du traitement par multi-attaches appelés communément « bagues » ou « brackets ».

Elles peuvent être métalliques (grises) ou un peu plus esthétiques en céramique (transparentes).

Le traitement multi-attaches permet de corriger les malpositions dentaires. C’est lors de ce traitement que l’on corrige les chevauchements «dents mal alignées », les espaces dentaires, et les légers décalages d’occlusion.

Très souvent des élastiques seront associés au traitement.

FAQ

Logo - Dr Nadia Kebaili - orthodontie suresnes

 

 

HORAIRES D'OUVERTURE
Mardi, mercredi, jeudi et vendredi :
09h30 - 14h00, 15h00 - 19h00

COORDONNÉES
01 47 72 05 68
12 Place du Général Leclerc, 92150 Suresnes